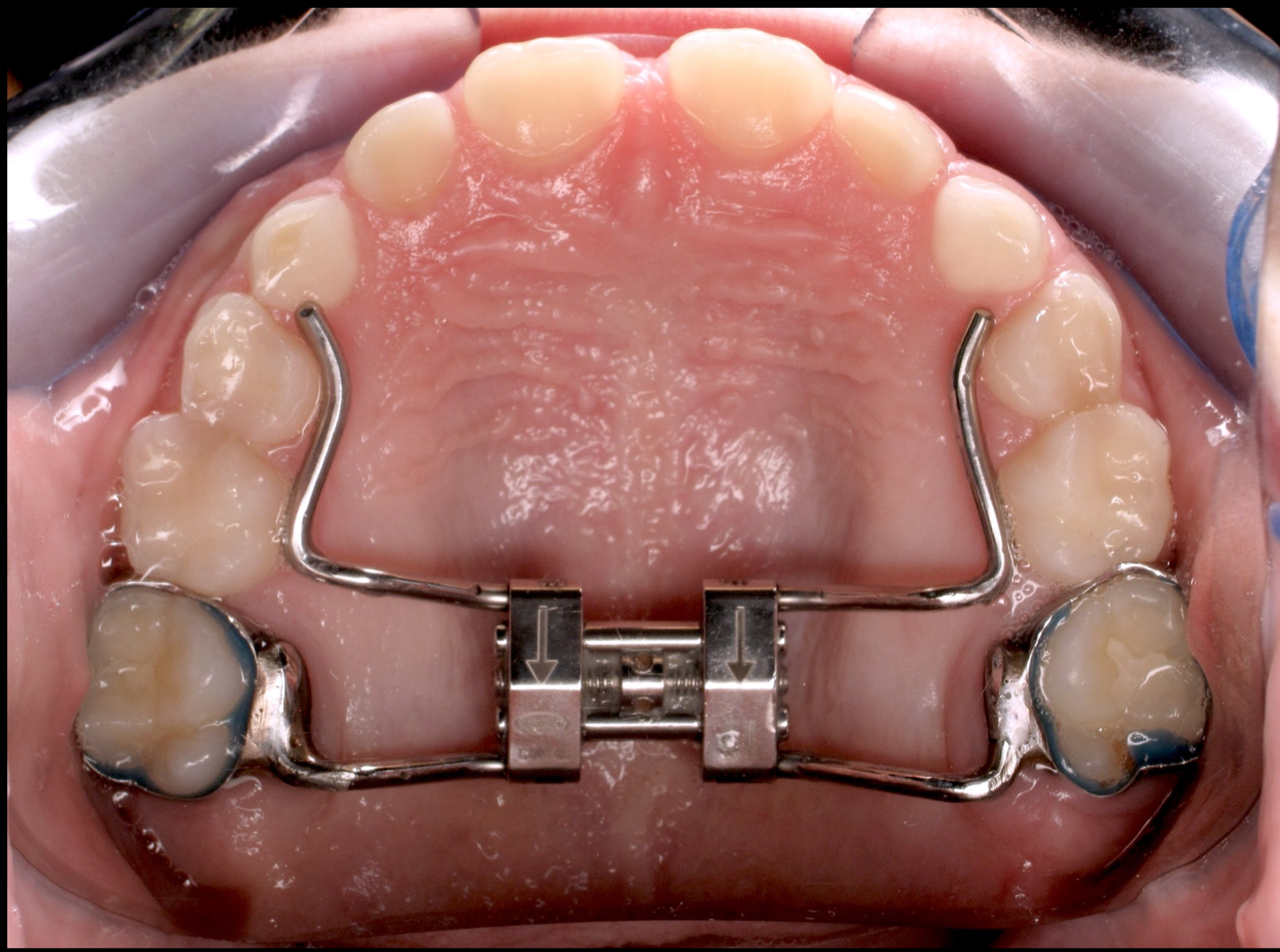
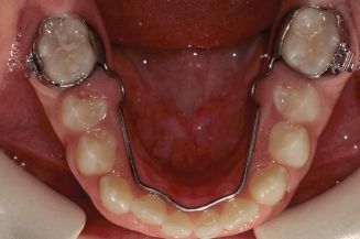
Other Orthodontic Appliances
Other types of orthodontic appliances may also be used during the course of treatment. Some of these appliances are removable and can be taken in and out of the mouth, while others will be attached to the teeth until they are no longer needed.
Depending upon the specific needs of the case, these appliances may be used to accomplish a number of things including:
- Widening the jaws to make sufficient space for permanent teeth
- Influencing jaw growth
- The reduction of deep overbites
- Allowing the correction of teeth in crossbite
- Maintaining the space for a permanent tooth when a baby tooth has been prematurely lost
- Minor tooth movement
- Helping to control harmful oral habits










