Dental Implants
Dental implants typically have three parts:
- The implant: A screw that serves as a root for your new teeth. This is what permanently attaches to your jaw.
- The abutment: A permanent, but removable by your doctor, connector that supports and holds a tooth or set of teeth.
- The crown (or prosthetic tooth): This is the part of the tooth that you can see. It's usually made of zirconium or porcelain for durability and good looks.
Think of dental implants as artificial tooth roots, similar in shape to screws.
When dental implants are placed in your jawbone, they bond with your natural bone.
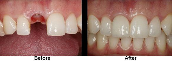
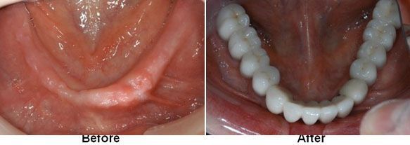
They become a sturdy base for supporting one or more artificial teeth, called crowns.
A connector, known as an abutment, is placed on top of the dental implant to hold and support your crowns. The crowns are custom-made to match your natural teeth and fit your mouth. Modern dental implants have been used successfully for over 30 years. They are the strongest devices available to support replacement teeth and even better, they allow these new teeth to feel, look and function naturally. When performed by a trained and experienced dental implant dentist, dental implant surgery is one of the safest and most predictable procedures in dentistry.

Step 1
Initial consultation: Your implant dentist will thoroughly examine your mouth, including taking X-rays or 3D images, to analyze the quantity and quality of the jaw bones, and identify anatomical structures like: major nerves, arteries and sinus.
Step 2
Treatment Planning: State-of-the-art, highly precise 3D digital imaging and implant surgical planning software has made implant procedures faster and highly predictable. Your dentist can use these tools to analyze the anatomy of your jaw and determine the best sites for implant placement before surgery. This saves time and money and shortens recovery time. The digital software allows the dentist to:
- Virtually plan and place the dental implants using the computer program prior to the surgery
- Eliminates possible manual placement errors
- Makes a predictable restorative outcome
Step 3
Flapless Surgery: A surgical guide is fabricated to be used during surgery. Advantages:
- Less Invasive
- Optimal Implant Placement
- Safer
- Less Surgery Time
- Faster Healing
- Less discomfort
- Predictable Esthetic Results
Step 4
Wait 3-6 Months: To complete the healing process and the proper integration between the bone and the implant. This process helps provide a solid base for your new artificial tooth/teeth, just as roots do for your natural teeth.
Step 5
Final Restoration: Removable or Fixed Restoration Options.
Adjunctive Procedures
If your jawbone is not able to support dental implants, several techniques can be used to rebuild bone, restore your natural jawline and provide a sturdy foundation for implant-supported teeth.
Bone augmentation. This involves restoring or regenerating bone in your jaw when it is not able to support implants otherwise. Research shows that using bone additives and growth factors to fortify the bone generally achieves the best results.
Ridge expansion. If your jaw isn't wide enough to support dental implants, bone graft material can be added to a small ridge, or space, created along the top of your jaw.
Sinus lift. Also called sinus augmentation or sinus elevation, this involves adding bone below the sinus in cases where natural bone has deteriorated due to missing upper back teeth.




